骨折手术后为何会发生“钢板”断裂?
来源:本站 时间:2022-11-18 浏览:245
遇到了骨折患者术后钢板断裂,螺钉松动。面对这种情况,大多数患者会提出以下问题:“为什么这么结实的钢板会断”,“断了以后该怎么办?”
通过阅读这篇文章,你可以知道:
为何术后出现钢板弯曲、断裂等异常情况;钢板断裂后,该怎么办?骨折手术后,如何运动恢复得更快?
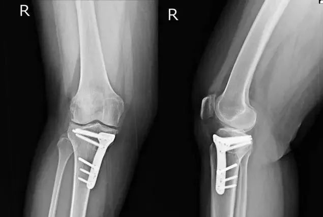
骨折或缺损后,植骨通常需要一个稳定的装置来连接骨头,并使其愈合。愈合应该有一个保证,这样骨头就不会移动。所以在这个时候,我们通常使用钢板来固定骨头的断端或缺陷。钢板一旦固定,骨头的上端、下端、远端和近端就会稳定在一起。

这时,我们不得不谈另一个问题:人的骨骼是有弹性的。骨头看起来很硬,但实际上有弹性,但钢板没有。所以问题是,如果骨头没有愈合,钢板的作用是稳定骨头的远端和近端,使骨头生长,骨头有弹性,所以在负荷下,力直接沿着骨头延续,钢板变得多余。此时,如果钢板没有弹性,就不能跟着骨头弯曲,这样就会出现,要么你断了,要么我断了。也就是说,如果骨头不断,钢板就会断裂。因此,此时钢板的作用,其实已经发挥完了,其作用也停止了。

如果骨头已经完全愈合,钢板断裂,或螺钉松动,此时不需要处理,因为骨头已经生长,骨头的功能已经恢复。所以钢板或螺钉,此时没有更好的效果,你可以选择拆除钢板或螺钉。当然,如果骨骼愈合不是很彻底,而且还没有完全愈合,松动的螺钉应该重新固定。事实上,骨折的固定范围仍然有限,如简单的骨折,那么骨折上下,可能至少有两三个螺钉固定,所以钢板的距离是确定的,如7厘米,8厘米。然而,如果骨缺损,钢板可能会跨过缺损段,在近端骨和远端骨,然后至少固定三个螺钉,此时其长度会更长。固定长度越长,受外力影响的机会就越大,越容易断裂和松动。

因此,我们应该注意,在早期4周或6周内,这是纤维结痂的形成期,此时一般不建议锻炼,因为如果你移动,结痂很难形成。在中期,纤维结痂已经形成,此时可以适当地站立,或给它一个纵向压力,使骨有刺激,加速骨愈合。在第三阶段,已经形成了连贯的结痂,此时你可以做各种强度的运动,恢复原来的运动能力。当然,这次也可能有固定的断裂,但这次更安全,所以不要太担心。珠海广安手足外科医院前身为珠海市红旗医院手外科中心,1997年创办,是珠海、中山、江门一家以手显微外科、创伤骨科、康复医疗科为特色,集医疗、教学、科研为一体的新型现代化专科医院,也是目前珠、中、江地区创建较早、规模较大、技术力量雄厚的专科医院,现为珠海市基本医疗保险、工伤保险及各商业保险公司定点医疗机构。