宝宝有这种骨发育问题,越早干预,代价越小

首先,从怀孕开始,让我们谈谈我们的伟大“宝妈”。怀孕期间,整个腰椎和骨盆,随着宝宝的发育,会承受越来越大的压力。

他们会有一系列的问题,比如腰痛、下肢疼痛、下肢酸痛、肿胀等。这些都是因为我们的宝宝在成长的过程中“孕妈妈”腰椎、骨盆及腹腔、盆腔血管产生压迫所致。

但是,当我们的“孕妈妈”出现上述症状时,既不必过于担心,也不必过于痛苦。

图片


及时选择骨科相关医疗机构专业医生会给孕妇提供相应的指导最大限度地改善上述不适症状帮助妊娠中后期孕妈妈尽可能轻松快乐

图片

随着婴儿的出生。
虽然有很多人的帮助,但对于那些刚刚完成生产的工作,整个身体仍处于恢复调整阶段“妈妈”说,颈背痛,腰背痛,“网球肘”,“腱鞘炎”随之而来的是一系列劳损性疾病和症状。

由于这一阶段,妈妈们还要将饱含营养的“乳汁”,提供给我们的宝宝,因此不敢用药,又成为了妈妈的困扰之一。

让我们来谈谈婴儿需要注意的问题。
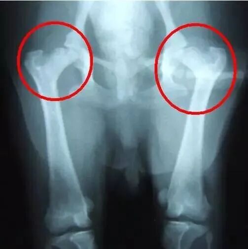
对于一个出生的婴儿,我们的骨科医生将进行初步研究,关于脊柱、四肢,特别是“髋关节”检查的重点是发现“先天性髋关节发育不良”这个隐患。由于这种疾病一旦出现干预越早预后越好成本越低

图片

因此,家长应注意观察婴儿的下肢状况、臀部线条和下肢活动状态。如有疑问应及时请专业骨科医生判断以免延误干预时间

随着宝宝一天天长大,抬起头,坐起来,站起来,走路……对脊柱、四肢、双脚的一系列关注也被提上了日程。

要注意宝宝的脊柱避免脊柱侧凸
要注意宝宝的四肢避免发育不平衡发育迟缓
要注意宝宝的双脚及时发现平足高弓足足部畸形隐患,用简单易行支架等方法保护宝宝的发育。

图片


珠海广安手足外科医院前身为珠海市红旗医院手外科中心,1997年创办,是珠海、中山、江门一家以手显微外科、创伤骨科、康复医疗科为特色,集医疗、教学、科研为一体的新型现代化专科医院,也是目前珠、中、江地区创建较早、规模较大、技术力量雄厚的专科医院,现为珠海市基本医疗保险、工伤保险及各商业保险公司定点医疗机构。


加微信 快速预约