
腰间盘突出会导致患者有不同程度的疼痛,并且不能正常进行活动,一般只要步行一个小时以上,腰部就会产生疼痛,对正常生活造成巨大的影响。
所以大家在生活中,一定要重视腰间盘突出的问题,调理方法可以让患者摆脱疾病的困扰。部分严重的患者可以通过手术进行治疗,从而恢复健康。

腰间盘突出可以算是日常生活当中,非常常见的一种病症了,一般情况下,该疾病主要发作在中老年人身上。
但随着智能技术不断发展,患有该疾病的年轻人也变得越来越多。建议腰间盘突出病人最好学习相应的防治方法,这样可以避免病情的加重。


腰间盘突出发作后,在饮食方面就要多加注意,应该多吃一些蔬菜以及豆类食物,少吃一些肉以及脂肪含量较高的食物。
这样能够保证大便通畅,防止便秘等意外状况的出现。因为大便时过度用力会导致病情更加严重。
也可以考虑多吃粗米以及杏仁等食物,这样可以给身体补充维生素e,从而起到扩张血管以及缓解腰间盘突出病症的效果。

如果已经腰间盘突出,那么一定要做好相应的保暖工作,尤其是在冬季气温逐渐下降的时候。不然如果人的腰背部长时间受到寒气侵袭,就很容易导致病症加重。即便是痊愈的病人也可能会存在着复发的情况。

对于腰间盘突出患者来说,每天进行适当的运动是非常有必要的,尤其是对于需要长时间保持同一姿势办公的人来说,就更有必要了。
长时间保证同一个姿势工作,对于人体的腰椎间盘损伤是很大的。可以考虑在工作一个小时左右的时候,就做一些相关的保健操活动一下。比如交叉扭腰等。


最后,治疗腰间盘突出的时候,一定要结合个人的实际情况,科学治疗,切勿因为错误的做法严重影响到身体健康。
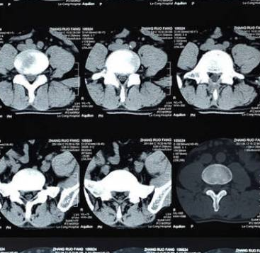
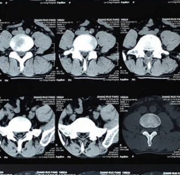
如果大家发现自己患有腰间盘突出,最好先到医院进行CT检查,了解清楚患病的情况,然后对症治疗。让自己在科学治疗的帮助下摆脱伤害,恢复健康。



温占春
手外科主任 工会主席
1998年赴赣南医学院附属医院进修麻醉,2008年在广州市第一人民医院进修骨科,从事骨显微外科的临床工作近30年。对手外科常见病及多发病,尤其对周围神经损伤、再生及修复,骨与关节损伤及修复等有较深入的研究。


加微信 快速预约
