颈肩酸痛、手臂酸麻无力是大多数上班族都经历过的事情,但由于长期以来人们对疼痛的认识比较片面,有的得到了正确诊疗,有的却因为跟其他疾病太过相似容易被误诊,常见的手臂酸麻痛就往往容易被判断为“颈椎病”,从而造成了许多漏诊、误诊和误治。
今天重点为大家讲解引起手臂酸麻痛的另一种常见问题,值得学习借鉴!
胸廓出口综合征 胸廓出口综合征(TOS)是由活动引起的锁骨下动、静脉和臂丛神经在胸廓上口受压迫而产生的一系列症状,1956年由Peet首先描述。通常情况下这种疾病考虑是由颈椎疾病,臂丛或上肢周围神经疾病,血管疾病,心、肺、纵隔疾病等疾病引起。胸廓出口综合征主要症状为神经压迫,手臂内侧感觉异常、木、麻、疼。胸廓出口综合征是一种最常见的综合症。 TOS分为:臂丛上干型、下干型和混合型三大类。
解剖结构 胸廓出口上界为锁骨,下界为第一肋骨,前方为肋锁韧带,后方为中斜角肌。上述肋锁间隙又被前斜角肌分为前、后两个部分。锁骨下静脉位于前斜角肌的前方与锁骨下肌之间;锁骨下动脉及臂丛神经则位于前斜角肌后方与中斜角肌之间。 臂丛血管神经经肋锁间隙到达腋窝三角底部,任何可使胸廓出口通道狭窄的原因均会导致神经血管压迫而产生症状。 前斜角肌起自第3~6颈椎横突的前结节,肌纤维向前外下走行,止于第1肋骨的前端上缘锁骨下动脉沟前方的前斜角肌结结节。 中斜角肌多数起自所有颈椎横突后结节,少数起自第2~7、3~7或3~7颈椎横突后结节,向外下止于第1肋骨上面锁骨下动脉沟的后方或外后方。 前、中斜角肌与第1肋骨构成的一三角形间隙,称为斜角肌间隙。 支配上肢的血管神经有臂丛神经及锁骨下动、静脉。 锁骨下动脉自主动脉弓发出后,呈弓形跨越第1肋骨,穿过斜角肌间隙,进入肋锁间隙。锁骨下静脉并不通过斜角肌间隙,而是自前斜角肌的前方越过,注入颈静脉。 臂丛神经由C5至T1神经根前支组成,各神经根出椎间孔后向外下走行,于锁骨下动脉的后上方穿过斜角肌间隙。 C5、C6神经根组成臂丛神经的上干,C7神经根单独组成中干,C8、Tl神经根组成臂丛神经的下干,其中下干直接跨越第1肋骨,各干分为前、后两股共同走行于肋锁间隙内,向外下通过此间隙后,进入胸小肌后面的胸小肌后间隙,再进入腋部。在神经及血管束的周围,有纤维结缔组织形成的神经血管鞘。 臂丛神经的上述行程中,在以下部位最易受压: ①斜角肌间隙 ②肋锁间隙 ③胸小肌后间隙 上述解剖部位的任何先天性或后天因素所造成的异常,均可直接或间接地压迫锁骨下血管及臂丛神经,产生临床症状。 病因病理 (一)病因 1.先天性因素 先天性的解剖结构异常包括骨性异常及软组织的异常。 常见的骨性异常有: 颈肋 第7颈椎横突过长 锁骨或第1肋骨的上移使肋锁间隙狭窄 软组织异常: 由于前中斜角肌的肥厚; 斜角肌先天性束带,多在前斜角肌与第 l 肋骨之间形成束带,压迫血管神经; 斜角肌挛缩,斜角肌间隙变小; 胸小肌的止点异常以及其他部位先天性的异常纤维束带压迫等 。 2.后天性因素 包括在上述解剖部位的肌肉组织增生及萎缩而导致肌肉力量失衡,解剖位置改变,牵拉及压迫血管神经束; 长颈及肩胛带下垂的人群易发生胸廓出口综合征; 创伤在胸廓出口综合征的发生中亦有一定的作用,锁骨及肋骨骨折不仅可直接损伤锁骨下血管及臂丛神经,而且可因骨折畸形愈合、异常的骨痂生长、局部瘢痕组织增生以及肌肉组织损伤后出血水肿.纤维化,压迫血管神经束; 血管损伤产生的假性动脉瘤或胸廓出口处发生的肿瘤也可直接压迫臂丛神经; 臂丛神经先天性变异、颈肩部的急性牵拉伤、长期的姿势不良、颈肩部的肌肉失衡、巨乳、肥胖等也是引起胸廓出口综合征(TOS)不可忽视的因素。
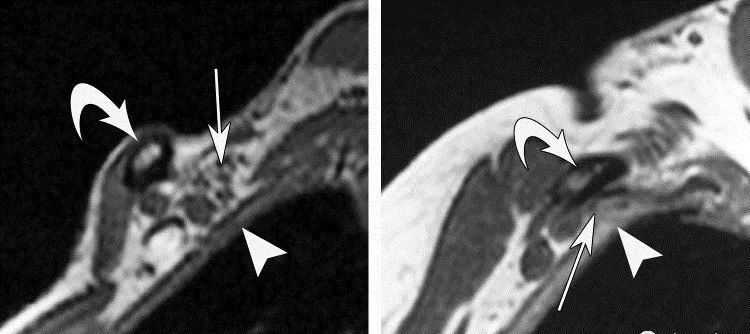
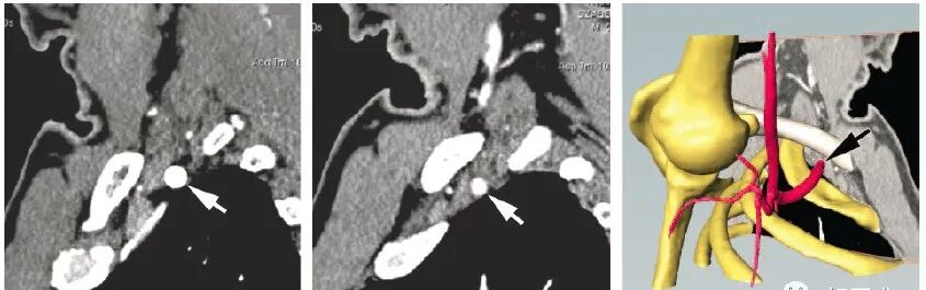
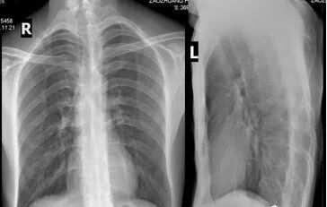
(二)病理 神经受压损伤常为假炎性肿胀样,感觉纤维最先受累,运动神经仅在晚期出现受压。此症状严重,较难恢复。神经受压时间过久则会通过交感神经导致血管舒缩障碍。锁骨下动脉血管壁可发生改变,动脉外膜增厚,间质水肿及同膜增厚伴管腔内血栓形成。早期血栓为纤维素血小板型,可出现雷诺(Raynaud)现象。 交感神经纤维收缩反射可加重指尖血管阻塞。 静脉在过度外展或内收时受到压迫,可观察到血液逆流停滞和外周静脉压上升,压迫消失后恢复正常。静脉壁反复损伤可发展类似炎症后纤维化样改变,静脉呈白色,失去半透明状态,且口径明显减小,形成侧支循环。早期发展趋势为静脉血栓,如侧支循环尚未形成,则可引起指端坏死改变。 临床表现 临床表现常见于中年妇女,20~40岁占80%,多有颈部外伤史。临床症状差异很大,且不持续 。分为神经受压和血管受压两类,神经受压的症状较为多见,也有神经和血管同时受压。 神经受压症状:有疼痛,感觉异常与麻木,常位于手指和手的尺神经分布区,也可在上肢、肩胛带和同侧肩背部疼痛并向上肢放射。晚期有感觉消失,运动无力,鱼际肌和骨间肌萎缩,4~5指伸肌麻痹形成爪形手。 臂丛神经受压:臂丛神经以跨越第1肋骨的下干最易受压,上干受压的较少,主要表现是臂丛神经下干受压的症状。 病人主要表现为:患侧肩部及上肢疼痛,无力,发病早期疼痛为间歇性,可向前臂及手部尺侧放射,肩外展及内旋时疼痛加剧。严重者可出现前臂及手部尺侧的感觉异常,甚至出现肌肉瘫痪,肌肉瘫痪及萎缩以小鱼际及骨问肌为甚,表现为爪形手畸形,有时也存在大鱼际肌及前臂肌肉肌力减退,锁骨上区有压痛并向前臂放射。 血管受压:一般病人不出现严重的血运障碍,当病变刺激血管时,可出现上肢套状感觉异常,患肢上举时感发冷,颜色苍白,桡动脉搏动减弱,锁骨下静脉严重受压时,则出现患肢远端水肿,发绀。血管严重受压时可出现锁骨下血管血栓形成,肢体远端血运障碍。 病史及症状: 既往史:大多数患者均有较长健康搜索的颈肩痛病史。 主要症状:本病的主要表现为颈肩部酸痛和不适,可向肩肘部放射患肢无力健康搜索,患者睡觉时患肢怎么放也不舒服可伴有头晕、耳鸣等症。 首诊时间:约30%的病例是在发病1年之内来诊,半数患者在1~2年来诊,另有20%患者超过2年来诊。 发病肢体:以非优势手多发,占2/3以上。 发病特点:急性发病者占55%慢性发病约占45%。 疼痛性质:均与体位关系密切,95%的患者呈间断性发作。 其他症状:几乎全部病例均有颈肩背部的异常、不适感约半数伴有疼痛。此外几乎95%的病例在睡觉时感到患肢怎么放也不舒服,同时伴有肩上举无力,少数患者可出现耳鸣、头昏及屈肘无力感。 诊断及鉴别诊断 1.诊断: 根据病史、局部体检、胸部和颈椎X线摄片和尺神经传导速度测定,一般可以明确诊断。 由于TOS患者临床表现复杂,与多种神经卡压症(如肘管)及运动神经元性疾病等症状相似,因此一种检查方法无法满足需要。 皮肤痛阈试验和两点辨别试验用于对中、晚期病人的诊断。而症状激发试验是最主要的早期诊断方法,包括“艾德森氏”试验、“过度外展”试验、“锁骨上叩击”试验、“上臂缺血”试验等。 1)“艾德森氏”征 病人端坐,双手置于膝上,将头转向患侧,下颌抬起使颈伸直,嘱病人深吸气后屏气,如桡动脉搏动减弱或消失者为阳性 2)“过度外展”试验 病人取坐位,检查者一手触摸病人桡动脉,同时将上臂被动地过度外展,如桡动脉搏动减弱或消失,腋下出现杂音者为阳性。 3)上臂缺血试验(一般认为最可靠) 即患者双上臂抬起,前臂屈曲90°,肩外展外旋,交替握拳与松开,若3min内一侧产生疼痛或不适而被迫下垂为阳性。 2.影像学 胸廓出口综合征主要依赖临床特征诊断,影像学有助于了解受压部位,解剖特征,确定手术方案:影像学检查X线颈椎片和胸片可以排除颈肋、第7颈椎横突过长、锁骨、第一肋骨畸形或其它骨性病。 平片——骨质异常 平片可以排除骨性结构的异常,图中两人都是临床证实的胸廓出口综合征的病人。 左图可以发现病人存在第七颈肋及颈七椎体横突过长; 右图则是锁骨骨折后骨痂过度形成而导致的肋骨锁骨间隙狭窄。 多普勒超声可以发现血管受压狭窄,血管造影可以确定狭窄和受压的部位: 评价动脉受压病变 静脉受压评估欠准确 臂丛显示不清 CT血管造影可用于评价动脉受压病变,图来自一个37岁的男性,图a是正常状态下的矢状位,锁骨下动脉没看到明显受压,图b是该病人手臂外展时的矢状位图,可以看到锁骨下动脉受压变窄,图cVR图直观显示血管跟周围骨骼结构的关系。值得注意的是,影像学对于静脉受压的评估相对欠准确,因为即使在正常人手臂外展时也会引起静脉受压,CT血管造影一个明显的缺点是对臂丛显示不清。 CT和MRI是一种敏感且无侵害性的方法,对TOS的确诊有一定帮助。 MRI--矢状位T1WI评价血管神经压迫最准确。 MRI可以准确观察与胸廓出口综合征相关的所有解剖结构,文献报道T1WI最有利于评估相关结构改变。这两幅图展示的是冠状位及轴位的T1WI图像。要注意的是,正常臂丛结构在所有序列上均为低信号。 相对于冠状位及轴位,矢状位对于评价血管神经压迫最准确。这是一个四十七岁的女性,左图是上臂外展前的T1WI矢状位图,臂丛没有受到明显压迫,而右图是上臂外展状态下的矢状位图,可以看到原先的结构明显受压。 电生理检查在TOS的早期无特殊价值,可能会出现F波延长,其它常常无异常发现。 晚期如尺神经运动传导速度在锁骨部减慢有较大的诊断价值。分别测定胸廓出口,肘部,前臂处尺神经传导速度。 正常胸廓出口为72m/s,肘部55m/s,前臂59m/s。胸廓出口综合征病人胸廓出口尺神经传导速度减少至32~65m/s,平均为53m/s。 3.辅助检查 上肢外展试验:上肢外展90°,135°和180°,手外旋,颈取伸展位。使锁骨下神经血管紧束压在胸小肌止点 下方和锁骨与第1肋骨间隙处,可感到颈肩部和上肢疼痛或疼痛加剧。桡动脉搏动减弱或消失,血压下降。 4.鉴别诊断 1)颈椎病 亦可出现上肢疼痛、无力、感觉异常,但颈椎病病人颈部常有压痛,压头试验及臂丛神经牵拉试验常为阳性。x线片有颈椎骨刺增生,椎间隙变窄,钩椎关节改变等退行性变的表现,CT及MRI可显示椎间盘变性及神经根、脊髓受压。 2)肘管综合征 为尺神经在肘管内受压所产生的临床综合征,表现为手无力,患肢手部尺侧感觉异常,小鱼际及骨间肌萎缩,爪形手,与本病主要累及尺神经所产生的临床表现相似,但前者无肩部症状,不波及正中神经,体征局限于肘部以下,AdSOn征、wright征、ROOs征等特殊试验阴性。 3)腕管综合征 为正中神经在腕管内受压所致,主要表现为手部桡侧2/3及桡侧3个半手指的感觉障碍,拇指对掌功能障碍,通过临床症状及检查,不难鉴别。 治疗 1.非手术治疗







如病人自觉症状轻微、无神经损伤的表现,可采用非手术治疗的方法进行治疗,其目标是增加胸廓出口处的空间,恢复颈肩部肌肉的平衡。包括:悬吊上肢、适当休息、局部理疗、前斜角肌局部封闭、口服止痛药及非甾体消炎药,减轻体重、加强肩部功能锻炼等方法。
要对疾病进行说明并作生活指导以消除患者的不安,避免做使症状恶化的动作(如持重或上肢上举等);
需通过体态训练纠正病人的不良姿势(如避免长时间的伏案工作,用橡皮带悬吊患肢等),不良姿势的改善可使肋锁间隙扩大及臂丛神经松弛。
还应进行肩胛带周围肌肉的强化训练,以提高肌肉的持久力。
2.手术治疗 如果TOS患者症状过于严重无法忍受保守治疗或者保守治疗失败则可进行手术松解。 手术原则:解除对血管神经束的骨性剪刀样压迫,必须截除第1肋骨全长和解除有关压迫因素,使臂丛和锁骨下动脉下移而又不产生畸形并发症。 手术方法:包括颈肋切除、第一肋切除、前中斜角肌切除、斜角肌切除合并肋骨切除等。手术路径有经腋、锁骨上、锁骨下、经胸或联合切口,根据医生的习惯选择。 康复训练 神经不仅支配肌肉组织的运动,还对肌肉组织有营养作用。因此,神经卡压后会不同程度地引起所支配肌肉的萎缩,从而使肌力减退,若压迫因素持续存在,则肌肉最终会纤维化而失去收缩功能。胸廓出口综合症的病人一般病程较长,伴有上肢肌萎缩。手术松解去除了压迫因素,但欲恢复肌力还需进行术后功能锻炼。 术后的功能锻炼应根据压迫臂丛神经的不同部位制订不同的训练方案,指导患者术后进行早期肢体功能锻炼,目前主张术后第2天即可进行。 抗阻力运动训练是加速肌力恢复、促进肢体功能恢复的有效方法。如压迫上臂从以训练肩外展上举和肘屈功能为主,压迫下臂丛主要训练手指的屈伸、内收、外展以及对指对掌等。 全臂丛神经压迫还需加强屈伸肘及腕关节的背伸与掌屈活动,部分患者术后症状反复出现,可辅助物理疗法如电疗法、超声波疗法等。也可使用消炎剂、肌肉松弛剂等改善患者症状,以达到加速局部组织血液循环、疏通经络,缓解疼痛、恢复肌力的目的。 避免用肩扛重的东西,因这样会压迫锁骨,且增加在胸出口上的压力。也可以做一些简单的练习使肩部肌肉强壮。 小结 胸廓出口综合征:由活动引起的锁骨下动、静脉和臂丛神经在胸廓上口受压迫而产生的一系列症状。 臂丛解剖:根干股束支,五三六三五。 三个间隙:斜角肌间隙;肋锁间隙;胸小肌后间隙。 MRI矢状位T1WI最有利于评估病变

加微信 快速预约
