颈椎曲度变直
左图为颈椎正常的曲线,存在向前弯曲的弧线,右图为异常曲线,弧线凸向后方,称为颈椎反弓。
面对着报告单上这些熟悉而又陌生的字句,他们或是惊恐,或是困惑:什么是颈椎曲度?颈椎曲度又有怎样的作用?怎样维护我们的颈椎曲度?
正常的颈椎是一个“C”型结构,颈椎有一个向前凸起,这是它的力学结构基础。这个“C”型的生理弧线保证了颈椎高度的灵活性和稳定性,这也是人体生理和功能的需要。 也正是由于这个生理弧度的存在,使得组成颈椎的7块小骨头能够承担整个头颅的重量,并完成各种动作。颈椎曲度是由于颈4至颈5椎间盘前厚后薄形成的,这也是人体生理结构的需要,同时不会让颈椎间盘突出。 但是,当由于各种原因颈椎曲度变直甚至颈椎反弓时,这个完美的弧形就不存在了。此时,颈椎不再拥有承受头颅重量的能力,不再能够缓冲压力,不再拥有颈4、颈5椎间盘前厚后薄的结构等,从而颈椎会发生退行性改变、颈间盘突出,造成疼痛、头晕、麻木等。 2. 颈椎曲度变直的原因 前凸的颈椎正像一张完美的弓形,而维持颈椎曲度的肌肉、韧带、椎间盘等软组织就像是拉紧的弓弦。这些结构的共同作用,维持了颈椎力学结构的稳定和神经管道的通畅。 当我们平视时,头颅的重心正好落在身体正中。而当我们长期伏案低头时,重心前移,力矩拉长,从而造成了软组织的疲劳,引起疼痛与不适。 久而久之,就如长期拉伸的皮筋一样,最终失去弹性,丧失了维持颈椎正常曲度的能力。从而进入了一个恶性循环,这就是我们常说的颈椎退变。 颈椎退变进一步的加重,则可导致椎间盘突出、骨赘形成、韧带肥厚等,从而对脊髓、神经、血管等重要结构造成挤压,造成肢体麻木、感觉活动功能异常等各类临床症状。 据研究,当我们平视前方时,我们颈椎所承受的负荷大约为5kg,而当我们以低头60°的姿势看手机时,颈椎所承受的负荷甚至可达到27kg。 27kg,这比我们举重比赛常用的最重的红色杠铃片还要再重2kg。按照以上的人均手机使用数据,合以目前我国的平均寿命计,约有985万分钟的时间在低头玩手机中度过。再算上工作、阅读等其他时间,相当于我们戴着一片杠铃一般的枷锁度过20~30年的有期徒刑。 根据颈椎病的不同临床表现,可以分为四大类: 1 颈型颈椎病 正常颈椎曲度 颈椎生理曲度变直 颈椎反弓 2 神经根型颈椎病 3 脊髓型颈椎病 4 其他型颈椎病









多起身倒水喝,多上厕所
淘汰不合适的办公座椅

座位高度很重要,有扶手可以帮助颈肩部分担手臂重量。站立办公也不错。
挑个好枕头

挑选好枕头两大关键因素:颈部支撑、睡得舒服。
尽量少用单肩包,尤其是大重量的,如果经常背重包,双肩比单肩好。

屈伸:头部后仰到最大幅度,停顿 5 秒;然后前屈,下巴贴住前胸,停顿5秒。
旋转:慢慢将头转向左侧,可用指尖在下巴施压,保持 5 秒;然后转向右侧重复同样的动作。
旋转:慢慢将头转向左侧,可用指尖在下巴施压,保持 5 秒;然后转向右侧重复同样的动作。
绕肩:坐直或站直,肩胛骨依次向后、上、前、下四个方面活动到最大幅度后,均停顿 5 秒。
(1)年龄大于 50 岁,在颈部疼痛的基础之上,又有新发的症状
(2)伴有发热、寒战,以及不明原因体重减轻
(3)持续 6 周以上,且颈部疼痛较重
(4)怀疑有神经受损,且症状加重
(5)之前被诊断为恶性肿瘤者
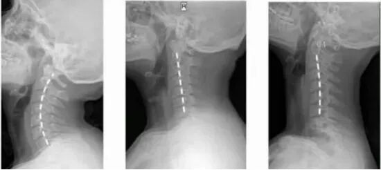
通常普通的 X 线片对于了解颈椎全貌,掌握整体的情况很有帮助,对于需要拍片的患者,X线是很多医生的首选;CT 主要看骨骼的情况,所以外伤检查有没有骨折,肿瘤有没有骨转移,做 CT 是最合适的;核磁共振(MRI)对于神经、椎间盘、韧带等看得比较清楚,所以怀疑神经有问题时,一般考虑做核磁共振。

加微信 快速预约
