陈大妈长期伏案工作后,颈椎出现了这样的变化……
来源:本站 时间:2023-02-24 浏览:233
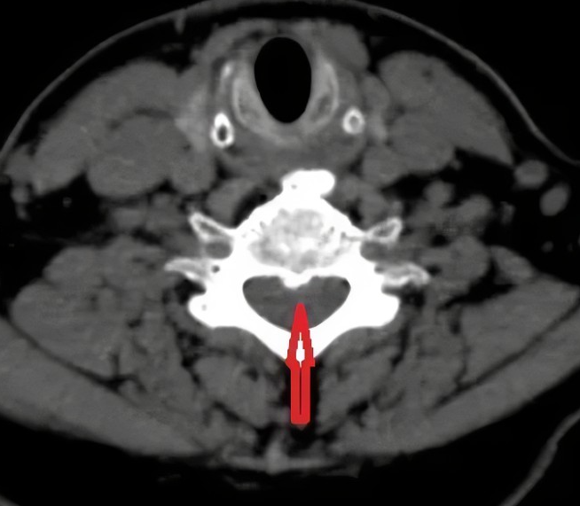
71岁的患者陈大妈,身体一直很好,去年开始肩颈就一直不舒服,起初就有轻微疼痛,最后发病难以承受。遂在家属陪同下至珠海广安手足外科就诊。手外科主治医生谭新德询问患者后了解到:由于长期伏案工作后出现颈后部疼痛,夜间疼痛加重,休息后好转,每天早晨起床时出现颈部僵硬,活动约半小时后缓解,疼痛加重时口服止痛药,外用膏药后,疼痛略缓解。
因患者自觉颈部酸胀疼痛加重,疼痛反射至右侧肩部、右侧上肢至手腕部,不能正常持物,夜间多次被痛醒,影响睡眠。床上翻身时,头身不能正常协调完成翻身动作,严重影响日常生活,要求保守诊治,拟“颈椎病”收住入院。

在骨科的医护的努力下,陈大妈成功通过了手术!现在精神、饮食和睡眠都很好!理健康的疾查看转病会让孩子变得不爱说话,更孤独,甚至于自己的父母都无法正常交流。所以说,孩子患有自闭症,及时治疗非常重要。不过,在治疗期间

谭新德 手外科主治医师
